Zubní plak a kouření: Jak kouření zhoršuje plak a co s tím dělat

Zubní plak a kouření: Jak kouření zhoršuje plak a co s tím dělat

Kalkulátor tvorby zubního kamene

Výpočet času tvorby zubního kamene

Pokud kouříte a máte problémy s plakem na zubech, nejde o náhodu. Kouření není jen otázkou zápachu nebo žlutých zubů - mění samotnou chemii vaší ústní dutiny tak, že plak roste rychleji, tvrdne dříve a je mnohem obtížnější odstranit. Víte, že každý kouřák má o 50 % vyšší riziko vzniku zubního kamene než nekouřič? A že plak u kouřáků obsahuje o 30 % více škodlivých bakterií, které ničí dásně? Tohle není jen o estetice. Tohle je o tom, že vaše dásně mohou začít krvácet už za pár let, a pak už nejde jen o čištění - jde o ztrátu zubů.

Co je zubní plak a jak se vytváří?

Zubní plak není ten špinavý film, který vidíte v zrcadle. Je to ten neviditelný, lepkavý biofilm, který se na zubech tvoří každou hodinu. Skládá se z bakterií, slin a zbytků jídla. Tyto bakterie žijí na povrchu zubů a jedí cukry - a výsledkem jejich metabolismu je kyselina, která rozkládá sklovinu zubu a vede k zubnímu kazu. Plak je ten první krok ke všemu špatnému: kazu, zánětu dásní, zubnímu kamenu a dokonce ke ztrátě zubů.

Plak se dá odstranit běžným čištěním zubů dvakrát denně a používáním nitě. Ale když ho neodstraníte včas, začne se tvrdnout. Za 24 až 72 hodin se z plaku stává zubní kámen - pevná, neodstranitelná vrstva, kterou už neodstraníte kartáčkem. Pouze zubní lékař může zubní kámen odstranit pomocí ultrazvuku nebo ručních nástrojů.

Proč kouření zhoršuje plak?

Kouření není jen o nikotinu a výfukových plynech. Když vdechnete kouř, změníte celou mikrobiální rovnováhu ve vaší ústní dutině. Studie z Journal of Clinical Periodontology ukázaly, že u kouřáků roste počet bakterií, které způsobují záněty dásní - zejména Porphyromonas gingivalis a Tanerella forsythia. Tyto bakterie se v plaku rozmnožují rychleji a vytvářejí silnější biofilm.

Kouření také snižuje krevní oběh v dásních. To znamená, že vaše tělo nemůže efektivně bojovat proti infekcím. Bakterie z plaku zůstávají, rostou a ničí tkáně. Zároveň kouření způsobuje, že sliny jsou hustší a méně efektivní - a sliny jsou přirozeným čističem vašich zubů. Když nemají dostatek tekutiny, neodstraňují cukry a kyseliny tak dobře.

Navíc kouření způsobuje, že plak rychleji tvrdne. U nekouřáků se zubní kámen obvykle tvoří za 10-14 dní. U kouřáků to může být za jen 5-7 dní. To znamená, že i když čistíte zuby pravidelně, plak se vám mění v kámen mnohem dříve než u ostatních.

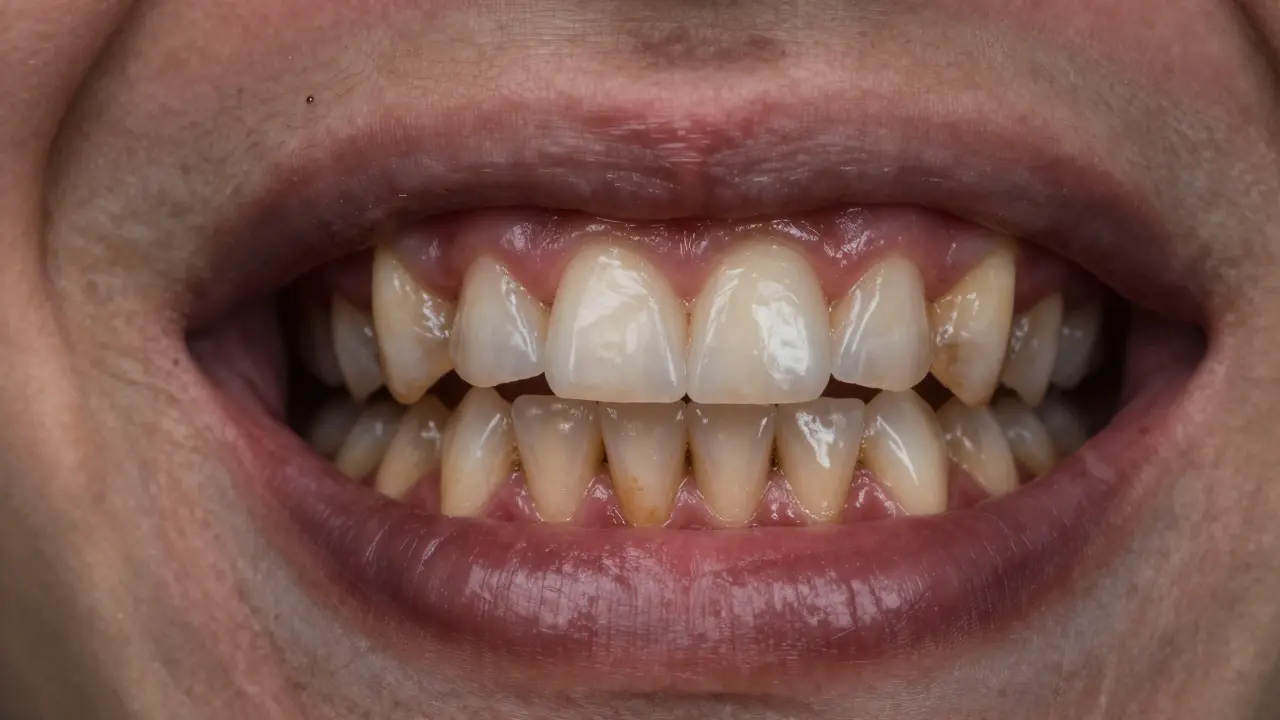
Jak vypadá plak u kouřáků?

Plak u kouřáků není jen tmavší - je jiný. Zatímco u nekouřáků je plak obvykle bílý nebo žlutý, u kouřáků se často vyskytuje tmavě hnědý nebo černý film, zejména u zubů u základu. Tento plak je hustší, lepkavější a nejde odstranit běžným čištěním. Často se pod ním vytvářejí záněty dásní, které se projevují krvácením, otokem a bolestí.

Na zubech u kouřáků se také často objevují tzv. „kouřové skvrny“ - tmavé skvrny, které nejsou zubním kamenem, ale jsou výsledkem taru a nikotinu, které se vážou na sklovinu. Tyto skvrny se neodstraňují čištěním, ale vyžadují profesionální odstranění u zubního lékaře.

Kouřový dým se mění v bakterie ničící zubní plak

Co se stane, když kouříte a nečistíte si zuby?

Když kouříte a zároveň nečistíte zuby pravidelně, všechny tyto problémy se násobí. Plak se rychle přeměňuje v kámen, kámen způsobuje zánět dásní, zánět dásní vede k parodontitidě - a parodontitida je hlavní příčinou ztráty zubů u dospělých.

Studie z roku 2024 v European Journal of Oral Sciences ukázaly, že kouřáci s nepravidelnou ústní hygienou mají o 80 % vyšší riziko vývoje pokročilé parodontitidy než nekouřiči, kteří si zuby čistí dvakrát denně. A co je horší - kouření maskuje příznaky. Dásně u kouřáků často nekrvácí tak viditelně, protože kouření zúží cévy. Takže když už začnou krvácet, je to už pozdě. Zubní kámen a zánět jsou tam už dlouho.

Co můžete udělat, abyste zpomalili poškozování zubů?

Nejlepší řešení je přestat kouřit. To je jediná věc, která skutečně zastaví tento proces. Ale pokud to zatím nechcete nebo nemůžete, tady je, co můžete dělat, abyste minimalizovali škodu:

  1. Čistěte si zuby dvakrát denně po dobu 2 minut - nejen ráno a večer, ale i po každém kouření. Používejte zubní kartáček s měkkými štětinami a fluoridovou zubní pastou.
  2. Používejte zubní nit denně - kouření zvyšuje riziko plaku mezi zuby, kde kartáček nedosáhne. Nit je jediný způsob, jak odstranit plak z těchto míst.
  3. Používejte ústní vodou s antiseptikem - například s chlorhexidinem (pouze krátkodobě a podle pokynů). Zabraňuje růstu bakterií v plaku.
  4. Navštěvujte zubního lékaře každé 6 měsíců - ne každý rok. U kouřáků je nutné častější profesionální čištění. Zubní lékař vám odstraní kámen, který už neodstraníte doma.
  5. Pijte vodu po každém kouření - to pomáhá vypláchnout zbytečné látky a zlepšuje tvorbu slin.

Je možné zpětně odstranit škodu?

Ano, ale jen částečně. Pokud jste kouřili několik let a nečistili si zuby, pravděpodobně už máte zubní kámen a možná i počáteční zánět dásní. To se dá zastavit, ale nevrátíte si zpět ztracenou tkáň. Zubní kámen se dá odstranit, zánět dásní se dá léčit, ale pokud už došlo k ztrátě kosti kolem zubů, ta se nevrátí.

Nejlepší čas na změnu je teď. Když přestanete kouřit, tělo začne opravovat poškození. Po 6 měsících bez cigaret se krevní oběh v dásních začne zlepšovat. Po roce se sníží riziko zánětu dásní o 30-40 %. A po 3 letech bez kouření je vaše riziko ztráty zubů stejné jako u nekouřiče.

Člověk čistí zuby elektrickým kartáčkem s vodou

Co dělat, když se vám zuby už žlutějí a dásně krvácí?

Nečekáte, až se to zhorší. Jděte k zubnímu lékaři. Nejde jen o „nějaké čištění“. Potřebujete kompletní vyšetření - rentgen, vyhodnocení hloubky zubních kapslí a stanovení stupně parodontitidy. Pokud máte krvácení dásní, je to signál, že něco není v pořádku. Nejde jen o špínu - jde o infekci.

Nezapomeňte: zubní lékař nejsou soudci. Nepřijde vám zlobit. Přijde vám pomoci. A pokud jste kouřák, potřebujete častější kontroly. Někteří zubní lékaři doporučují kouřákům návštěvu každé 3-4 měsíce. To není přehnané - je to nutné.

Co je víc škodlivé: kouření nebo špatná hygiena?

Obě věci spolu spolupracují. Ale pokud byste měli vybrat jedno, co má větší vliv na ztrátu zubů - je to kouření. Studie ukazují, že kouření je druhým největším rizikovým faktorem pro parodontitidu (po diabetu). Je to víc než špatná hygiena. Můžete mít perfektní hygienu, ale pokud kouříte, vaše dásně budou slabší než u nekouřiče.

Naopak - pokud kouříte, ale čistíte si zuby pravidelně, používáte nit a navštěvujete lékaře, můžete zpomalit poškozování. Ale nezastavíte ho úplně. Kouření má vliv na každý krok procesu.

Když přestanete kouřit - co se stane s vašimi zuby?

Nejprve se zlepší chuť a vůně. Pak se zpomalí tvorba plaku. Za 3 měsíce se dásně začnou zahojovat. Za 6 měsíců se krvácení zmenší. Za rok se sníží riziko zubního kamene o 40 %. A za 3 roky - jak jsem řekl - vaše riziko ztráty zubů je stejné jako u nekouřiče.

Nejde jen o zuby. Když přestanete kouřit, zlepší se vaše celkové zdraví. Méně infekcí, méně zánětů, méně problémů s srdcem. Ale zuby jsou první, co to cítíte. A také první, co se dá opravit.

Je možné odstranit zubní plak sami doma, pokud kouřím?

Ano, ale jen plak - nikoli zubní kámen. Plak můžete odstranit čištěním kartáčkem a nití. Ale když plak zůstane na zubech déle než 2-3 dny, začne tvrdnout a přemění se v zubní kámen. Ten už odstraníte pouze u zubního lékaře. Kouření zrychluje tento proces, takže i při pravidelném čištění se kámen může tvořit rychleji než u nekouřiče.

Proč se u kouřáků často nekrvácí dásně, i když mají zánět?

Kouření zúží krevní cévy v dásních, což snižuje přítok krve. To znamená, že tělo méně reaguje na infekci - a krvácení, které je běžným příznakem zánětu, se neobjeví nebo je velmi slabé. To je nebezpečné, protože vás to může klamat: myslíte si, že všechno je v pořádku, když vlastně zánět postupuje a ničí kost kolem zubů.

Může zubní plak způsobit ztrátu zubů i u mladých kouřáků?

Ano. I mladí kouřáci ve věku 20-30 let mohou mít pokročilý zánět dásní a ztrátu kosti kolem zubů. Nejde jen o věk - jde o čas a intenzitu kouření. Pokud kouříte 10 cigaret denně po 5 letech, můžete mít zubní kámen a zánět, který se u nekouřiče objeví až po 40 letech.

Je lepší používat elektrický kartáček, pokud kouřím?

Ano. Elektrický kartáček je efektivnější při odstraňování plaku, zejména u kouřáků, kteří mají hustší biofilm. Studie ukazují, že elektrické kartáčky odstraňují o 20-30 % více plaku než ruční. Pokud kouříte, je to jedna z nejlepších investic do vaší ústní hygieny.

Může kouření způsobit zubní kámen i bez cukru ve stravě?

Ano. Zatímco cukr je hlavní potrava pro bakterie v plaku, kouření samo o sobě mění složení slin a zvyšuje počet škodlivých bakterií. Dokonce i kouřáci, kteří jedí bez cukru, mají více zubního kamene než nekouřiči, kteří jedí sladkosti. Kouření je samostatným rizikovým faktorem.

Filip Dvořák
Napsal Filip Dvořák
Jsem Filip Dvořák, odborník na stomatologii se sídlem v Brně. Své služby nabízím již více než dvacet let a zároveň se snažím své znalosti předávat dále prostřednictvím článků, ve kterých se zaměřuji na péči o zuby. Psaní mi přináší radost a myslím, že je skvělý způsob, jak pomáhat lidem starat se o svůj úsměv. Kromě toho mám rád kreslení a studium dentální hygieny ve svém volném čase, mimo pracovního nasazení. Je pro mě důležité i osobní rozvoj, nejen profesní.