Který los vyhrává? Jak vybrat zirkonovou korunku, která skutečně vydrží

Který los vyhrává? Jak vybrat zirkonovou korunku, která skutečně vydrží

Který zirkonový korunka je pro vás nejlepší?

1. Pro který druh zubu potřebujete korunku?

2. Jaký je váš rozpočet?

3. Máte bruxismus (zubní tření nebo brouskání)?

4. Potřebujete přirozený vzhled korunky?

5. Máte alergii na kovy?

Váš doporučený typ zirkonové korunky:

Doporučená korunka

Proč je toto řešení nejlepší pro vás?
Poznámka: Tento nástroj doporučuje základní variantu na základě základních informací. Pro konečnou rozhodnutí je vždy třeba konzultovat s lékařem.

Stojíte před výběrem zirkonové korunky a nevíte, který los vyhrává? Nejste sami. Každý rok se tisíce lidí v Česku rozhoduje mezi různými typy zubních korunek, a zirkonová je dnes jednou z nejpopulárnějších. Ale ne každá zirkonová korunka je stejná. Některé vydrží 15 let, jiné se začnou lámat už po pěti. Některé vypadají jako přirozené zuby, jiné mají na okrajích šedavý prstenec. A cena? Od 5 tisíc do 18 tisíc korun. Jak to všechno zvládnout?

Zirkonová korunka není jen jedna věc

Velká chyba je myslet, že „zirkonová korunka“ je jednoznačný výrobek. Ve skutečnosti existují tři hlavní typy: monolitická zirkonová korunka, zirkonová korunka s keramickým povrchem a zirkonová jádrová korunka s keramickou vrstvou. Každá má své výhody a nevýhody.

Monolitická zirkonová korunka je vyrobená z jednoho kusu zirkoniové keramiky. Je nejsilnější - odolává i tvrdému žvýkání, ideální pro zadní zuby. Ale má jednu věc, která ji odlišuje od přirozeného zubu: je trochu bílejší a méně průhledná. Pokud ji dát do předních zubů, může vypadat uměle, jako plast.

Zirkonová korunka s keramickým povrchem je ta, kterou většina lidí představuje. Má zirkonové jádro pro pevnost a tenkou vrstvu keramiky navrchu, která připomíná přirozenou barvu a průhlednost zubu. Je to nejčastější volba pro přední zuby. Ale tato keramická vrstva se může po letech poškrábat nebo odloupnout, pokud je zbytečně tenká nebo špatně přilepená.

Zirkonová jádrová korunka je podobná, ale jádro je vytvořeno z nižší kvality zirkonu - často z „stabilizovaného“ zirkonu, který je levnější, ale méně odolný. Tyto korunky se často objevují v nabídkách za 5-7 tisíc korun. Výsledek? Zubař může říct, že je to „zirkon“, ale ve skutečnosti to je levnější verze, která se může zkroutit nebo ztmavit pod keramikou.

Co vlastně znamená „kvalita zirkonu“?

Zirkoniová keramika není jedna látka - je to rodina materiálů. Nejčastěji se používají dva typy: Y-TZP zirkon (ytria-stabilizovaný tetragonální zirkon) a HT zirkon (high-translucency).

Y-TZP je ten, který se používá u monolitických korunek. Je nejsilnější - odolává tlačené síle až 1200 MPa. To znamená, že může přežít i silné žvýkání, tření o protější zuby nebo náhodné úrazy. Je to materiál, který používají dentální laboratoře pro zubní implantáty a mosty.

HT zirkon je novější verze. Je více průhledná, takže vypadá přirozeněji - ideální pro přední zuby. Ale je méně odolná - odolává jen kolem 600-800 MPa. Pokud ji dát na molár, může se po pěti letech začít rozpadat na okrajích.

Nezapomeňte: ne každá laboratoř používá stejnou kvalitu. Některé používají zirkon z Číny nebo Indie, který není certifikován podle evropského standardu ISO 13356. Tyto materiály mohou mít nečistoty, které způsobují ztmavení nebo mikrotrhliny. Výsledek? Po pěti letech se korunka začne lišit od ostatních zubů barvou nebo tvarově.

Co vás stojí a co vás opravdu stojí

Cena zirkonové korunky se liší podle tří věcí: kvalita zirkonu, kvalita keramiky a zkušenost laboratoře.

  • Levné řešení (5 000-7 000 Kč): Používá nízkokvalitní zirkon (pravděpodobně z Číny), tenká keramika, často vyráběná v masových laboratořích. Výsledek: po 3-5 letech se může objevit tmavý okraj u dásně, nebo se korunka poškrábat.
  • Střední třída (8 000-12 000 Kč): Používá evropský Y-TZP nebo HT zirkon (např. z firmy Zirkonzahn, 3M, Ivoclar), kvalitní keramika, ruční výroba. Toto je běžná volba pro přední zuby a většinu zubních lékařů v ČR.
  • Vysoká třída (13 000-18 000 Kč): Používá nejvyšší kvalitu zirkonu (např. Katana UTML nebo Lava Plus), speciální keramiky pro přirozený efekt, výroba v specializovaných laboratořích s optickým skenováním. Tato korunka může vydržet 20 let a více.

Nezapomeňte: cena zahrnuje i výrobu, ale ne vždy i kontrolu. Některé kliniky získávají korunky od dodavatelů, kteří je vyrábějí v zahraničí bez přímé kontroly. Pokud se korunka nesedí, nemůžete ji jednoduše „upravit“ - musíte ji celou vyměnit. A to stojí dalších 8-12 tisíc.

Řez čelistí s různými typy zirkonu: Y-TZP, HT a nízkokvalitní zirkon s mikrotrhlinami.

Když získáte korunku, co se může stát?

Nejčastější problémy s korunkami nejsou výrobní - jsou v přizpůsobení.

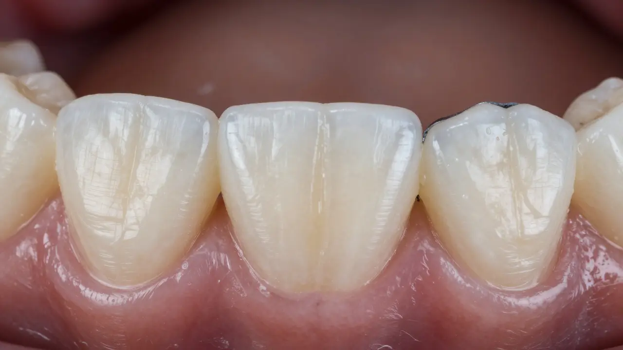
  • Tmavý okraj u dásně: Vzniká, když je zirkonové jádro příliš tmavé nebo když je keramická vrstva příliš tenká. Dásně se mohou zkrátit s věkem - a když se odhalí tmavý okraj, vypadá to jako zub, který se „rozpadá“.
  • Neodpovídající barva: Pokud je korunka vyrobená bez přesného odstínu, který odpovídá vašim sousedním zubům, bude vypadat jako „cizí“. Nejlepší řešení: výroba podle vlastního odstínu zubu, který byl zaznamenán ve světle, které odpovídá vašemu přirozenému osvětlení.
  • Nevhodný tvar: Pokud je korunka příliš hrubá nebo příliš tenká, může způsobovat podráždění dásně nebo přetížení sousedních zubů. Zubař by měl při instalaci zkontrolovat, zda korunka nevzniká „příliš vysoká“ při žvýkání.

Nejčastější chyba: lidé si nechají korunku dát bez předchozího vyšetření. Pokud máte bruxismus (zubní tření), zirkonová korunka je skvělá volba - ale jen pokud je vyrobena jako monolitická. Pokud máte jen keramický povrch, může se rozpadnout během několika měsíců.

Kdo by měl vybírat zirkonovou korunku?

Ne každý potřebuje zirkon. Tady je jednoduchý test:

  1. Pokud máte zubní tření nebo silné žvýkání: Vyberte monolitickou zirkonovou korunku. Je to jediná volba, která přežije.
  2. Pokud je to přední zub a chcete přirozený vzhled: Vyberte zirkonovou korunku s keramickým povrchem z evropského zirkonu. Nechte si udělat odstínovou analýzu.
  3. Pokud máte omezený rozpočet: Nevezměte nejlevnější možnost. Zvažte klasickou metalokeramiku - je méně krásná, ale spolehlivější a levnější. Zirkon není vždy lepší, jen dražší.
  4. Pokud máte alergii na kovy: Zirkon je bezpečný. Není žádný kov v jeho složení - je to keramika. Ideální volba pro alergiky.
Zlatá mince a zubní korunka na stole s cenovými štítky a časovou osou trvanlivosti.

Co si pamatovat před nákupem

Pokud se rozhodnete pro zirkonovou korunku, nechte si dát tyto informace od zubaře:

  • Jaký typ zirkonu se používá? (Y-TZP, HT, nebo neznámý)
  • Která firma ho vyrábí? (Zirkonzahn, Ivoclar, 3M, nebo neznámý dodavatel?)
  • Je korunka monolitická nebo má keramický povrch?
  • Je výroba provedena v ČR nebo v zahraničí?
  • Je zahrnuta garance? Na kolik let?

Nezapomeňte: kvalitní zirkonová korunka není jen o materiálu - je to o kombinaci materiálu, techniky a zkušenosti. Nejlepší korunka je ta, která vypadá jako váš vlastní zub, nebojí se žvýkání a nevyžaduje výměnu za 5 let.

Když se rozhodnete, nechte si to zapsat

Před instalací požádejte o písemný souhlas, ve kterém bude uvedeno:

  • Název materiálu (např. „Katana UTML zirkon“)
  • Typ korunky (monolitická / keramická vrstva)
  • Garance (minimálně 5 let)
  • Jméno laboratoře, která ji vyrábí

Bez toho nemáte žádnou ochranu. Pokud se korunka po dvou letech rozbije, nebudete mít co říct - jen to, že jste si nechali dát „zirkon“.

Je zirkonová korunka lepší než metalokeramika?

Zirkonová korunka je lepší pro vzhled a alergiky, protože neobsahuje kovy. Metalokeramika je ale silnější a levnější. Pokud máte silné žvýkání nebo tření zubů, metalokeramika může být spolehlivější volbou pro zadní zuby. Zirkon je vhodnější pro přední zuby, kde je důležitý vzhled.

Může zirkonová korunka ztmavnout?

Ano, ale jen pokud je použit nízkokvalitní zirkon nebo je keramická vrstva příliš tenká. Kvalitní zirkon (Y-TZP nebo HT z evropských značek) nezmění barvu. Tmavý okraj u dásně vzniká, když je zirkonové jádro špatně zpracované nebo když se dásně zkrátí a odhalí se podklad.

Jak dlouho vydrží zirkonová korunka?

Kvalitní zirkonová korunka vydrží 15-25 let, pokud je správně zhotovená a dodržujete hygienické návyky. Levné verze mohou selhat již po 3-5 letech. Klíčem je kvalita materiálu a přesnost instalace - ne cena.

Je zirkonová korunka vhodná pro přední zuby?

Ano, ale jen pokud je to korunka s keramickým povrchem a vyráběná z HT zirkonu. Monolitická zirkonová korunka je příliš bílá a neprůhledná - vypadá uměle. Pro přední zuby je tedy nejlepší volba zirkonová korunka s keramickou vrstvou a přesným odstínováním.

Co dělat, když se korunka poškodí?

Pokud se korunka poškrábe, odloupne nebo zlomí, nezkoušejte ji opravit doma. Okamžitě se obrátit na zubaře. Zirkonová korunka se nedá opravit - musí se vyměnit. Pokud máte písemnou garanci, můžete mít nárok na zdarma výměnu. Bez ní budete platit znovu.

Tomáš Sedláček
Napsal Tomáš Sedláček
Jsem stomatolog s více než 10letou praxí, specializující se na preventivní péči a ortodoncii. Pracuji v soukromé praxi v Liberci a vedle toho píšu odborné články na téma ústní hygieny a péče o zuby. Mé články se objevují v několika stomatologických časopisech a na webu. Moje práce je mým koníčkem a jsem vášnivým propagátorem důkladné péče o zuby.