Jak vypadá zubní kaz na rentgenu? Vizualizace a jak ho dentista rozpozná

Jak vypadá zubní kaz na rentgenu? Vizualizace a jak ho dentista rozpozná

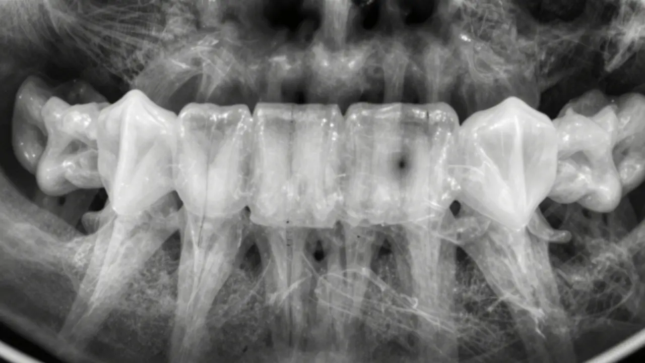
Na rentgenu zubů se zubní kaz nejeví jako černá díra, jak si mnozí představují. Je to jemná, tmavá skvrna, která se často skrývá mezi zuby nebo pod plomby. Pokud jste kdy viděli rentgen svých zubů a nevěděli, co hledat, nejste sami. Většina lidí si myslí, že kaz je vidět hned, když se podívají do zrcadla. Ale skutečnost je jiná - mnohé kazy se rozvíjejí úplně skrytě, až do okamžiku, kdy začnou bolet. Rentgen je ten nástroj, který odhalí problémy dříve, než se stane katastrofou.

Co vlastně na rentgenu vidíte?

Rentgenové paprsky procházejí tělem různě. Kosti a zuby jsou husté, takže je většina paprsků pohltí a na snímku vypadají bělavě. Měkké tkáně, jako je dásně nebo jazyk, jsou průhlednější a vypadají šedivě. Ale když se zubní kaz rozvíjí, minerály v zubní sklovine a dentinu se rozpouštějí. To znamená, že tato část zubu je méně hustá - a proto propouští více paprsků. Na rentgenu to vypadá jako tmavší skvrna v rámci bělavého zubu.

Tato tmavá oblast není vždy stejně velká. U malého kazu to může být jen tenká čára mezi dvěma zuby, která se dá snadno přehlédnout. U pokročilého kazu už je vidět větší tmavá oblast, která se táhne až k zubním nervům. V některých případech se kaz rozšíří pod plombu - a to je přesně ten moment, kdy pacient přijde s bolestí, ale dentista řekne: „Na rentgenu to už je větší problém, než jste si myslel.“

Kde se kaz na rentgenu nejčastěji objevuje?

Nejčastější místa, kde se kaz na rentgenu ukáže, jsou:

  • Mezi zuby (kontaktní plochy) - tady se potraviny zadržují, zubní kartáček nedosáhne, a bakterie vytvářejí kyselinu, která rozežírá sklovinku. Na rentgenu to vypadá jako tenká tmavá čára mezi dvěma zuby, často na straně, kde se zuby dotýkají.
  • Pod plombami nebo korunkami - pokud je plomba nekvalitně zasazená nebo se kolem ní vytvořila mezera, bakterie se tam usadí. Na rentgenu se pod plombou objeví tmavá oblast, která se neodpovídá původnímu tvaru zubu.
  • U zubních kořenů - pokud máte odsunuté dásně (paradentóza), kořen zubu je vystavený. Tam se může vyvinout tzv. kmenový kaz, který na rentgenu vypadá jako tmavá oblast na špičce kořene nebo podél jeho povrchu.
  • Na vrcholku zubu (žvýkací plocha) - zde se kaz objevuje jako malá tmavá skvrna v hlubokých brázdách, které se často vyskytují u molárů. U dětí to často znamená, že se zubní kaz rozšířil rychleji, než se o něj dospělí postarali.

Proč rentgen ukazuje víc než zrcadlo?

Představte si, že byste chtěli najít škrábnutí na podlaze, když se díváte z výšky. Nevidíte detaily. Zubař má stejný problém - zrcadlo a světlo mu ukazují jen povrch. Ale rentgen je jako X-ray, který „vidí“ dovnitř. Může ukázat, že kaz je už v dentinu, i když zevně zub vypadá zdravě.

Podle studií z Journal of Dentistry je přibližně 40 % všech kazu u dospělých skrytých mezi zuby a neviditelných bez rentgenového snímku. To znamená, že když se omezíte jen na prohlídku zrcadlem, přehlédnete téměř každý druhý kaz. A to je důvod, proč dentista doporučuje rentgen každých 12-24 měsíců - ne proto, že byste měli víc zubních problémů, ale protože potřebuje vidět to, co nevidíte.

Příčný řez zubu s kazem pod plombou, šířícím se do dentinu.

Co se stane, když kaz na rentgenu nezachytíte?

Když se kaz nezachytí včas, začne se šířit hlouběji. Nejprve prožírá sklovinku, pak dentin - a ten je měkký a citlivý. V tomto stádiu začne být zub citlivý na studené, teplé nebo sladké. Pokud se to nezastaví, kaz dorazí k zubnímu nervu. Pak nastane bolest - často silná, noční, která se nechce odejít. A teprve teď se musí dělat kořenová léčba nebo zub vytrhávat.

Naopak, když se kaz objeví na rentgenu jako malá skvrna, stačí často jen jednoduchá plomba. Než se to stane bolestí, je to jen pár minut u zubaře. A cena? Přibližně 1 500 Kč za malou plombu. Pokud se to zhorší, může stát 8 000 Kč a více za kořenovou léčbu a korunku.

Je rentgen bezpečný? Kolik jich je příliš?

Moderní digitální rentgeny používají 80-90 % méně záření než staré filmové. Jeden zubní rentgen má stejné množství záření jako 1-2 hodiny letu letadlem nebo 1 den strávený na slunci. Pro dospělé je doporučeno dělat kompletní rentgen (panoramatický nebo FPA) každé 3-5 let a malé snímky (bitewing) každý rok nebo každé dva roky, podle rizika.

U dětí se rentgen dělá častěji, protože jejich zuby se rychleji kazí a vývoj trvalých zubů je důležitý. Ale i zde se postupuje opatrně - používají se štíty na krk a hrudník a digitální technologie, které minimalizují expozici.

Zubař ukazuje na rentgenový snímek s označeným kazem u kořene zubu.

Co dělat, když na rentgenu vidíte tmavou skvrnu?

Nezůstávejte v panice. Tmavá skvrna neznamená automaticky, že potřebujete plombu nebo vytrhnutí. Někdy to může být jen zbytky plomby, kovový zubní kov nebo jen hustší část zubu. Dentista to vždy zkontroluje s výsledkem prohlídky, dotazy na citlivost a často i s laserovým detektorem kazu (DIAGNOdent).

Ale pokud je skvrna opravdu kazem, neodkládejte. Nejlepší čas na léčbu je hned po zjištění. Čím dříve se to opraví, tím menší je zákrok a tím delší bude životnost zubu. Některé kazy se dají i zastavit - pokud jsou ještě jen v sklovince a nepronikly do dentinu. V takovém případě může dentista doporučit fluoridovou léčbu, lepší čištění a kontrolu za 3 měsíce.

Co si pamatovat?

  • Zubní kaz na rentgenu vypadá jako tmavá skvrna, ne jako černá díra.
  • Nejčastější místa: mezi zuby, pod plombami, u kořenů.
  • Rentgen odhaluje kazy, které zrcadlo nevidí - a to je jeho hlavní síla.
  • Časná detekce = menší zákrok = nižší náklady.
  • Digitální rentgen je bezpečný - nebojte se ho dělat.
  • Nečekávejte na bolest. Pokud vám dentista ukáže kaz na rentgenu, neodkládejte.

Může být tmavá skvrna na rentgenu něco jiného než kaz?

Ano. Tmavá skvrna může být také zbytky staré plomby, kovový zubní kov (např. z amalgamové plomby), zubní kamen, nebo dokonce hustší část zubu, která vypadá tmavě díky jeho struktuře. Dentista to vždy zkontroluje kombinací rentgenového snímku, prohlídky a někdy i laserového detektoru kazu, aby vyloučil falešné signály.

Je možné, že kaz na rentgenu neznamená, že zub bolí?

Ano, to je běžné. Většina kazu v počáteční fázi nezpůsobuje žádnou bolest. Zubní nerv je citlivý až tehdy, když kaz dosáhne na dentin nebo blíže k nervu. To znamená, že pokud vám dentista ukáže kaz na rentgenu, ale zub nebolí, je to výhoda - máte čas na jednoduchou a levnou léčbu, než se to stane bolestí.

Proč mi dentista nedělá rentgen při každé návštěvě?

Rentgen se dělá jen tehdy, když je to potřeba. Pokud nemáte historii kazu, dobrá hygiena a nebojíte se bolesti, může dentista dělat rentgen jen každé dva roky. Pokud máte časté kazy nebo jste měli nedávno plombu, může být doporučeno každý rok. Cílem není dělat rentgen co nejčastěji, ale jen tolik, kolik je nutné pro vaše zdraví.

Může se kaz na rentgenu vyléčit bez plomby?

Ano, ale jen v případě, že je ještě v samotné sklovince a nepronikl do dentinu. V tomto stádiu může dentista doporučit silnější fluoridovou pastu, lepší čištění mezi zuby a kontrolu za 3-6 měsíců. Některé studie ukazují, že při pravidelném používání fluoridu se tyto počáteční kazy mohou samy zastavit a dokonce se trochu zreparovat.

Jak často bych měl dělat rentgen zubů?

Pro dospělé s dobrým zdravím zubů a nízkým rizikem kazu je doporučeno malé rentgeny (bitewing) každých 12-24 měsíců. Kompletní panoramatický snímek stačí každých 3-5 let. Pokud máte časté kazy, parodentózu nebo jste měli nedávno zubní zákrok, může dentista doporučit častější kontroly - někdy i každých 6-12 měsíců. Nikdy neváhejte se zeptat, proč je rentgen potřebný.

Filip Dvořák
Napsal Filip Dvořák
Jsem Filip Dvořák, odborník na stomatologii se sídlem v Brně. Své služby nabízím již více než dvacet let a zároveň se snažím své znalosti předávat dále prostřednictvím článků, ve kterých se zaměřuji na péči o zuby. Psaní mi přináší radost a myslím, že je skvělý způsob, jak pomáhat lidem starat se o svůj úsměv. Kromě toho mám rád kreslení a studium dentální hygieny ve svém volném čase, mimo pracovního nasazení. Je pro mě důležité i osobní rozvoj, nejen profesní.